Κοσμίδου Μ., Δρόσος Σ., Λώτη Σ., Σπύρου Σ., Καραπασιάς Ν., Συμεωνίδου Ε., Βλατή Α., Δεμερτζής Δ., Κοπανούδης Α. Ακτινολογικό Τμήμα Γ.Ν.Καβάλας
Σελίδες
▼
Παρασκευή 27 Φεβρουαρίου 2015
Τετάρτη 25 Φεβρουαρίου 2015
Παρασκευή 20 Φεβρουαρίου 2015
An Ultrasound Terms Lexicon Illustradted for Radiologists
Α.N. Chalazonitis, G. Tsimitselis, A. Patsalides, E. Katsianou, O. Theodorakopoulou, V. Zabiozi, P. Chronopoulos, Hellenic Red Cross Hospital and 401 Army Veterans - NIMTS Hospital, Athens - Greece
Τετάρτη 18 Φεβρουαρίου 2015
Δευτέρα 16 Φεβρουαρίου 2015
Παρασκευή 13 Φεβρουαρίου 2015
Τετάρτη 11 Φεβρουαρίου 2015
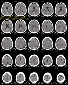
Κρανιοεγκεφαλική Κάκωση (Κ.Ε.Κ.)
1/ Γραμμοειδές Κάταγμα
Μετωπιαία Αριστερά 2/ Πάχυνση του
Βλεννογόνου του Σφηνοειδούς Κόλπου 3/
Αιμορραγικές Θλάσεις Κροταφικά Δεξιά & Υπαραχνοειδής Αιμορραγία 4/ Μικρό Υποσκληρίδιο Αιμάτωμα στο
Σκηνίδιο Δεξιά 5/ Ενδοεγκεφαλικό
Αιμάτωμα Μετωπιαία Αριστερά με Περιεστιακό Οίδημα 6/ Επισκληρίδιο Αιμάτωμα
Μετωπιαία Αριστερά 7/ Υποσκληρίδιο
Αιμάτωμα Μετωπιαία Αριστερά
Δευτέρα 9 Φεβρουαρίου 2015
Πέμπτη 5 Φεβρουαρίου 2015
Είλεο-Ειλεϊκός Εγκολεασμός σε Ενήλικα Γυναίκα
Δρόσος Σ.1,
Κοσμίδου Μ.1, Συμεωνίδου Ει.1, Ταμραζιάν Α.1,
Σπύρου Σ.1, Αρβανιτίδου Αν.1, Βαρσάμης Ν.2,
Χατζηπουργάνη Χ.1, Κοπανούδης Α.1
1.Ακτινοδιαγνωστικό Τμήμα Γ.Ν. Καβάλας 2.Α’ Χειρουργική Κλινική Γ.Ν. Καβάλας
Τετάρτη 4 Φεβρουαρίου 2015
Ψηφιακή Αφαιρετική Αγγειογραφία (DSA) Αορτικού Τόξου
Digital Subtraction Angiograph (DSA) of the Aortic Arch
Courtesy
of the images: Michalis M. Mantatzis
Interventional Neuroradiologist
University Hospital of Alexandroupoli

%2BInvasive%2BDuctal%2BCarcinoma%2BNOS.jpg)

%2Ba%2BLobar%2BPneumonia%2B(Right%2BMiddle%2BLobe).jpg)
%2Bb%2BLobar%2BPneumonia%2B(Right%2BMiddle%2BLobe).jpg)
.png)
+bone.jpg)
+brain1.jpg)
+brain2.jpg)

%2BLead%2BPoisoning%2Bor%2BPlumbism.jpg)