Σελίδες
(Μετακίνηση σε …)
ΑΡΧΙΚΗ ΣΕΛΙΔΑ
ΠΡΟΣΕΧΗ ΣΥΝΕΔΡΙΑ
LECTURES
ΤΟ ΓΝΩΡΙΖΕΣ ΑΥΤΟ ?
Η ΑΚΤΙΝΟΛΟΓΙΑ ΣΤΗΝ ΕΛΛΑΔΑ
FUN PAGE
ΕΥΧΑΡΙΣΤΙΕΣ
ΕΠΙΚΟΙΝΩΝΙΑ
▼
Κυριακή 28 Οκτωβρίου 2012
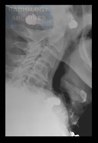
Ξένο Σώμα (Τεχνητή Οδοντοστοιχία) στον Απιοειδή Βόθρο
Foreign Body in the Pyriform Sinus (Denture)
‹
›
Αρχική σελίδα
Προβολή έκδοσης ιστού