Σελίδες
(Μετακίνηση σε …)
ΑΡΧΙΚΗ ΣΕΛΙΔΑ
ΠΡΟΣΕΧΗ ΣΥΝΕΔΡΙΑ
LECTURES
ΤΟ ΓΝΩΡΙΖΕΣ ΑΥΤΟ ?
Η ΑΚΤΙΝΟΛΟΓΙΑ ΣΤΗΝ ΕΛΛΑΔΑ
FUN PAGE
ΕΥΧΑΡΙΣΤΙΕΣ
ΕΠΙΚΟΙΝΩΝΙΑ
▼
Τετάρτη 21 Μαΐου 2014
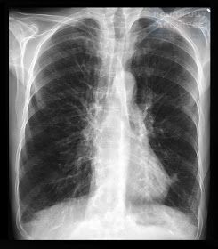
Χρόνια Αποφρακτική Πνευμονοπάθεια (ΧΑΠ)
Chronic Obstructive Pulmonary Disease (COPD)
‹
›
Αρχική σελίδα
Προβολή έκδοσης ιστού