Ιnvasive (Infiltrating) Lobular Carcinoma of the Breast - ILC
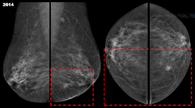
Ιστορικό: Γυναίκα 50 ετών, προσέρχεται για ετήσιο προληπτικό μαστογραφικό έλεγχο (2014).
Ευρήματα: Μαστογραφία: στο έσω ημιμόριο (και σχετικά προς το κάτω) του ΑΡ μαστού ~5 cm από την θηλή παρατηρείται αρχικά μια εστιακή ασυμμετρία υπο την μορφή της ακανόνιστης / ασύμμετρης ακτινοσκιερότητας (~1,20 cm) με υποψία ακτινωτών προσεκβολών και διαταραχή της αρχιτεκτονικής. Στην σύγκριση με την προσκομισθείσα προηγούμενη μαστογραφία (2013) που πραγματοποιήθηκε προ έτους, διαπιστώνεται ότι ως εστιακή ασυμμετρία το εύρημα προϋπήρχε (δείτε συγκριτικά τα εσω ημιμόρια των μαστών στις CC λήψεις) όπως και μια ανεπαίσθητη διαταραχή της αρχιτεκτoνικής (η μαστογραφία είχε σημανθεί με BI-RADS 2 πιθανότατα λόγω του ενδομαστικού λεμφαδένα στο ουραίο τμήμα του ΑΡ μαστού) ωστόσο στην παρούσα μαστογραφία το εύρημα απεικονίζεται εντονότερα και σαφέστερα (και στις δυο λήψεις πλέον). Ο μαστογραφικός έλεγχος προ έτους είχε συμπληρωθεί και από υπερηχογράφημα (BI-RADS 1). Υπερηχοτομογράφημα: στην συμπληρωματική εξέταση που πραγματοποιήθηκε, στην 8η ώρα του ΑΡ μαστού (~4 cm από την θηλή) παρατηρείται υποηχοϊκό (υποψία εσωτερικών υπερηχωγενών ηχοανακλάσεων) ακανόνιστο / ασύμμετρο μόρφωμα (~1 cm) με γωνιώσεις του περιγράμματος / προσεκβολές, οπίσθια ακουστική σκιά και διαταραχή της τοπικής αρχιτεκτονικής, άνευ αιμάτωσης: μαστογραφικό BI-RADS:0 (παρά τις ισχυρές ενδείξεις για πιθανή κακοήθεια[4]) και υπερηχογραφικό BI-RADS: 5. Υπερηχογραφικά δεν εντοπίστηκαν ύποπτοι διηθημένοι λεμφαδένες (ο ενδομαστικός ΑΡ με καλοήθη χαρακτηριστικά).
Διάγνωση: Διηθητικό λοβιακό καρκίνωμα (το ιστολογικό αποτέλεσμα μετά την ολική μαστεκτομή).
Διάγνωση: Διηθητικό λοβιακό καρκίνωμα (το ιστολογικό αποτέλεσμα μετά την ολική μαστεκτομή).
Διηθητικό Καρκίνωμα του Μαστού: καρκίνος του μαστού ταξινομείται ως διηθητικός όταν τα κύτταρα του όγκου έχουν διαπεράσει τη βασική μεμβράνη. Διακρίνονται διάφορες υποδιαιρέσεις του διηθητικού καρκινώματος του μαστού με βάση την ιστολογική τους δομή και διαφοροποίηση.
Η πιο συχνή μορφή (~70%) είναι το Μη Ειδικό Διηθητικό Πορώδες Καρκίνωμα (Infiltrating / Invasive Ductal Carcinoma - IDC of no special type / Not Otherwise Specified - NOS). Αυτή η κατηγορία περιλαμβάνει όλα τα καρκινώματα στα οποία περισσότερο από το 50% του όγκου δεν έχει τα ειδικά χαρακτηριστικά ενός συγκεκριμένου ιστολογικού τύπου.
Η δεύτερη πιο συχνή
μορφή (~ 15%) είναι το Διηθητικό
Λοβιακό Καρκίνωμα (Infiltrating
/ Invasive Lobular Carcinoma - ILC). Άλλοι λιγότερο συχνοί ιστολογικοί τύποι
(Well-differentiated Subtypes of IDC) περιλαμβάνουν τα εξής: Μυελοειδές
Καρκίνωμα (Medullary Carcinoma, 2%), Βλεννώδες Καρκίνωμα (Mucinous / Colloid
Carcinoma, 1,5 - 2%), Σωληνώδες Καρκίνωμα (Tubular Carcinoma, 1 - 6 - 8%),
Θηλώδες Καρκίνωμα (Papillary Carcinoma, 1 - 2- 4%).[1] ,[2]
Το διηθητικό πορώδες
καρκίνωμα έχει τη χειρότερη πρόγνωση από όλους τους διηθητικούς καρκίνους του
μαστού. Όγκοι που συνολικά ή κυρίως προέρχονται από ένα ειδικό ιστολογικό τύπο
έχουν καλύτερη πρόγνωση. Ωστόσο, ανεξάρτητα από την ιστολογία του όγκου, η
πρόγνωση για ασθενείς με καρκίνωμα του μαστού εξαρτάται σε σημαντικό βαθμό από
το μέγεθος του διηθητικού τμήματος του όγκου* και από την παρουσία μεταστάσεων
σε μασχαλιαίους λεμφαδένες. Το
ζητούμενο επομένως από τις απεικονιστικές μεθόδους είναι η ανίχνευση
του καρκινώματος του μαστού στο νωρίτερο δυνατό στάδιο, πριν δώσει μεταστάσεις.[1]
*Μέγεθος καρκίνου σε σχέση με την 10ετή επιβίωση μετά τη
διάγνωση: ▪1cm< : 95%, 1 – 2 cm: 85%, 2 – 5 cm: 60% (εξαρτάται από το grade
του όγκου).[2]
Σταδιοποίηση
/ Grading / Κριτήρια Κατάταξης:
Stage I: Πρωτοπαθής όγκος ≤ 2
cm, με αρνητικούς λεμφαδένες. Stage
IIA: πρωτοπαθής όγκος 2,1 – 5,0 cm, με αρνητικούς μασχαλιαίους
λεμφαδένες ή πρωτοπαθής όγκος ≤ 2 cm με εξαιρέσιμους / κινητούς μεταστατικούς
λεμφαδένες. Stage IIB:
πρωτοπαθής όγκος 2,1 – 5,0 cm, με εξαιρέσιμους / κινητούς μεταστατικούς
λεμφαδένες ή πρωτοπαθής όγκος ≥ 5,1 cm, με αρνητικούς μασχαλιαίους λεμφαδένες. Stage IIIA: πρωτοπαθής όγκος ≥
5,1 cm, με θετικούς λεμφαδένες ή μικρότερος πρωτοπαθής όγκος με καθηλωμένο
μασχαλιαίο λεμφαδένα. Stage IIIB:
διήθηση δέρματος ή του θωρακικού τοιχώματος ή φλεγμονώδες καρκίνωμα. Stage IV: απομακρυσμένες
μεταστάσεις. Σταδιοποίηση καρκίνου σε
σχέση με την 5ετή επιβίωση μετά την διάγνωση: ▪I: 90%, ▪ΙΙ: 70%, ▪III:
50%,▪ΙV: 20%.[3]
NPIscore
(Nottingham Prognostic Index): δείκτης ο οποίος πέρα από το μέγεθος του
πρωτοπαθούς όγκου και τον αριθμό των διηθημένων λεμφαδένων περιλαμβάνει και το
βαθμό κακοήθειας (grade), και συνίσταται στο γινόμενο μιας σταθεράς 0,2 επί το
μέγεθος του πρωτοπαθούς όγκου σε εκατοστά συν τον βαθμό κακοήθειας συν έναν
αριθμό από το 1 έως το τρία που σχετίζεται με τον αριθμό των διηθημένων
λεμφαδένων:
Διηθητικό
Λοβιακό Καρκίνωμα (Infiltrating
/ Invasive Lobular Carcinoma - ILC)[2], [3]: στο εξής θα
αναφερόμαστε μόνο σε αυτό: ●εξορμάτε από την τελική πορολοβιακή μονάδα του
μαζικού αδένα (terminal ductules of breast lobules: invades as single file
columns of cells), ●το δεύτερο συχνότερο διηθητικό καρκίνωμα του μαστού (~15%
των διηθητικών &~10% όλων των καρκινωμάτων του μαστού), ●30 – 50% των
ασθενών θα αναπτύξουν δεύτερο πρωτοπαθή όγκο στον ίδιο ή τον αντίπλευρο μαστό (30% πολυκεντρικότητα - 10%
αμφοτερόπλευρα), ●αποτελεί τον καρκίνο με το
μεγαλύτερο ποσοστό αστοχίας στη διάγνωση (δύσκολο να εντοπιστεί
μαστογραφικά & κλινικά) με 19 - 43%
ψευδώς- αρνητική διάγνωση (15 - 20% αφανής σε πυκνού μαστούς + insidious growth pattern), ●μέσος όρος
ηλικίας εμφάνισης: 45 - 56 έτη (το 2% όλων των ILC θα εμφανιστούν σε γυναίκες
< 30 ετών), ●το μέγεθος του υποεκτιμάτε στην μαστογραφία σε > 2/3 των
περιπτώσεων, ενώ είναι μεγαλύτερα κατά την διάγνωση από ότι τα IDC, ●είναι
συχνότερο σε ασθενεις με LCIS (Lobular Carcinoma In Situ) και ALH (Atypical
Lobular Hyperplasia), με τα οποία συχνά συνυπάρχει.
Απεικονιστικά[2],
[3]: Καλύτερο
Διαγνωστικό Στοιχειό: αναπτυσσόμενη /
εξελισσόμενη εστιακή ασυμμετρία με
διαταραχή της αρχιτεκτονικής και ψηλαφητή πάχυνση: Λάβετε Υπόψη Πάντα: ●ότι μπορει να απεικονίζεται μόνο σε μια
μαστογραφική προβολή (συχνότερα στην cc), ●αναπτυσσόμενη / εξελισσόμενη εστιακή ασυμμετρία και / ή ελαφρά /
ανεπαίσθητη διαταραχή της αρχιτεκτονικής χρήζει πάντα περεταίρω έλεγχου, ●μην
αθωώνεται ανεπαίσθητες νεοεμφανιζόμενες πυκνότητες ή διαταραχές
αρχιτεκτονικής, ●ενθάρρυνση της χρήσης Υπερηχογραφήματος, ●προτείνεται η περαιτέρω διερεύνηση με MRM
για την εκτίμηση της έκτασης της νόσου. Μαστογραφία
(Mammo): 52% ευαισθησία – range: 34 -72%: ●Ακτινωτή μάζα (συχνότερα), ●Διαταραχή
αρχιτεκτονικής, ●Νεοεμφανιζόμενη εστιακή ασυμμετρία, συχνότερα στην cc λήψη
(πιεστικές λήψεις & έλεγχος με Υπερηχογράφημα), ●Επασβεστώσεις: σπάνιες (1
- 11%). Υπερηχογράφημα (US)[2],
[3]: 88% ευαισθησία – range:
82 -94%: ●Ακανόνιστη μάζα / Μάζα με γωνιώσεις με εσωτερικές ηχογενείς
ανακλάσεις + ασαφώς αφοριζόμενη /
ακτινωτές προσεκβολές + οπίσθια
ακουστική σκιά (54 – 61%), ●+/- διαταραχή αρχιτεκτονικής, ●Μπορει να είναι
σχεδόν ανηχοϊκό με οπίσθια ακουστική ενίσχυση (τα ασαφή όρια και οι γωνιώσεις
θα το διαχωρίσουν από μια κύστη), ●Καλά περιγεγραμμένη μάζα με οπίσθια
ακουστική σκιά (πλειομορφικό ILC), ●Εστιακή οπίσθια σκιά / ηχοανάκλαση χωρίς
διακριτή μάζα (κλασικό ILC), ●Το
υπερηχογράφημα συχνά υποεκτιμά το μέγεθος του όγκου.
Μαγνητική Μαστογραφία (MRI)[1]: έχει την υψηλότερη ευαισθησία από όλες τις απεικονιστικές μεθόδους στη
διάγνωση του διηθητικού καρκινώματος (γενικά - (83 -100% στο ILC) + χρήσιμη για τον καθορισμό του
ακριβούς μεγέθους της βλάβης και της πιθανής πολυεστιακότητας[3]: ●Εστιακή
ενισχυόμενη βλάβη: θα εντοπιστούν διηθητικοί όγκοι > 3 - 5 mm, ως εστιακές
ενισχυόμενες βλάβες. Οι όγκοι δεν παρουσιάζουν μόνο μία απόλυτη αύξηση του
βαθμού ενίσχυσης, αλλά επίσης έχουν πολύ γρήγορη ενίσχυση στην πρώιμη φάση της
δυναμικής απεικόνισης. Οι κακοήθεις όγκοι τείνουν να παρουσιάζουν τη μέγιστη ενίσχυση
εντός των πρώτων 2 - 3 min μετά τη χορήγηση του σκιαγραφικού. Η καμπύλη
ενίσχυσης μπορεί να παραμείνει σε αυτό το υψηλό επίπεδο (Καμπύλη Τύπου Υψιπέδου - Ρlateau - συχνότερα) ή να μειωθεί βαθμιαία με την πάροδο του χρόνου (Καμπύλη
Εξασθένησης - Washοut - σπάνια). ●Άλλα σημεία κακοήθειας είναι η περιφερική
δακτυλιοειδής ενίσχυση, η επέκταση της ενίσχυσης από την περιφέρεια προς το
κέντρο και η περιφερική εξασθένηση της ενίσχυσης στις καθυστερημένες εικόνες.
Ωστόσο, αυτά τα σημεία δεν παρατηρούνται πάντα και η απουσία τους δεν αποκλείει
ένα κακοήθη όγκο. ●Τα μορφολογικά κριτήρια είναι επίσης χρήσιμα στη διάκριση
μεταξύ καλοήθων και κακοήθων αλλοιώσεων. Τα διηθητικά καρκινώματα τείνουν να
έχουν ανώμαλα όρια, όπως και στις συμβατικές μαστογραφίες, ενώ τα ομαλά όρια
είναι πλέον συμβατά με μία καλοήθη βλάβη. Η MRI δεν μπορεί να διακρίνει
αξιόπιστα μεταξύ των διαφόρων ιστολογικών τύπων του IDC με βάση είτε τους
χαρακτήρες ενίσχυσής τους είτε μορφολογικά κριτήρια. Υπάρχουν, ωστόσο, κάποια
συγκεκριμένα χαρακτηριστικά που υπαινίσσονται την παρουσία ενός εIδικού
ιστολογικού τύπου. Το ILC είναι μία
ειδική περίπτωση γιατί σε ορισμένες περιπτώσεις μπορεί να διηθήσει
διάχυτα το μαζικό παρέγχυμα
δημιουργώντας μία εικόνα διάχυτης ενίσχυσης στη MRI, χωρίς μία πραγματική
εστιακή βλάβη. Συχνά αυτοί οι όγκοι δεν είναι εμφανείς στις συμβατικές
μαστογραφίες, ή μπορεί να ανιχνευθούν μόνο εμμέσως λόγω διαταραχής της
αρχιτεκτονικής του μαστού. MRI
χαρακτηριστικά του ILC[2]:
Πρόσθετη μη αναμενόμενη σύστοιχη βλάβη (32%) + στο αντίπλευρο μαστό (7%), Τ1WI: ●Ισης έντασης σήμα με το
παρέγχυμα (ακτινωτή μάζα με διαταραχή αρχιτεκτονικής[3]), ●Μέτρια / έντονη
πρώιμη ενίσχυση, ●Καμπύλη ενίσχυσης Τύπου Υψιπέδου - Ρlateau (συχνότερα) / Καμπύλη
Εξασθένησης - Washοut (σπάνια) / καθυστερημένη μέγιστη ενίσχυση (τυπικά), ●Απουσία
φαινομένου μάζας / άμορφη ασυμμετρία, ●Περιφερική δακτυλιοειδής ενίσχυση σε
οζώδης όγκους (50%), ●Μονήρης ενισχυόμενη ανώμαλη μάζα / μάζα με γωνιώσεις και
ακτινωτές προεκβολές / ασαφώς αφοριζόμενα όρια (31 – 43%), ●Πολλαπλές μικρές
ενισχυόμενες εστίες με διασυνδεόμενα ενισχυόμενα σκέλη, ●Ενισχυόμενα
διαφραγμάτια. Τ2WI: ίσης με
χαμηλής έντασης σήμα σε σχέση με το παρέγχυμα του μαστού.
Karapasias Nikos, MD Radiologist
[1] E.J. Rummeny, P. Reimer,
W. Heindel, Μαγνητική Τομογραφία Ανθρώπινου Σώματος, 2011, Ιατρικές
Εκδόσεις Χ. Βασιλειάδης, ISBN: 978313135841
[2] Wolfgang Dähnert, Radiology Review Manual
(Dahnert, Radiology Review Manual), 7th
ed., 2011 LWW; North American Edition, ISBN-10: 1609139437
[3]Wendie A. Berg, Wei Tse Yang, Diagnostic Imaging: Breast, Wolters Kluwer; 2 edition (Nov. 26 2013), ISBN-10: 1931884730
[4]Κατευθυντήριες οδηγίες της Ελληνικής Εταιρείας Απεικόνισης Μαστού (ΕΕΑΜ)
[3]Wendie A. Berg, Wei Tse Yang, Diagnostic Imaging: Breast, Wolters Kluwer; 2 edition (Nov. 26 2013), ISBN-10: 1931884730
[4]Κατευθυντήριες οδηγίες της Ελληνικής Εταιρείας Απεικόνισης Μαστού (ΕΕΑΜ)

